TOPへ

根管治療後の治り方

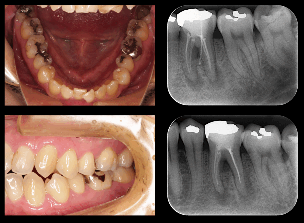
ももこ歯科での根管治療7〜サイナストラクトは治るのか 症例4歯内歯周病変編〜

根管治療  / 根管治療後の治り方  / 根管治療症例  / 歯内歯周病変  / 腫れ・膿・サイナストラクト  / 院長ブログ
ももこ歯科での根管治療7〜サイナストラクトは治るのか 症例4歯内歯周病変編〜

ももこ歯科のブログを読んでくださる皆様、いつもありがとうございます。 今回のブログは、前回のつづきで、深い歯周ポケットをともなうサイナストラクトがある歯内歯周病変のケースが、根管治療を行った結果どうなったかをお話しします...

続きを読む

ももこ歯科での根管治療6〜サイナストラクトは治るのか 症例4歯内歯周病変編〜

根管治療  / 根管治療後の治り方  / 根管治療症例  / 歯内歯周病変  / 腫れ・膿・サイナストラクト  / 院長ブログ
ももこ歯科での根管治療6〜サイナストラクトは治るのか 症例4歯内歯周病変編〜

ももこ歯科のブログを読んでくださる皆様、いつもありがとうございます。 今回のケースは、サイナストラクトがあり、深い歯周ポケットが存在する歯内歯周病変です。前回までのケース:サイナストラクトがあり、浅い歯周ポケットが存在す...

続きを読む

根管治療で痛みが取れないと抜歯しなければいけないか?

根管治療  / 根管治療後の治り方  / 院長ブログ
根管治療で痛みが取れないと抜歯しなければいけないか?

ももこ歯科のブログを読んでくださる皆様、いつもありがとうございます。 今日は、痛みが根管治療をしてもなかなか取れない場合、抜歯しなければいけないか、についてお話しします。 結論からいうと、根管治療で痛みが取れないからとい...

続きを読む

根管治療後の経過について

かむと痛い  / 根管治療  / 根管治療後の治り方  / 歯髄壊死  / 歯髄炎  / 院長ブログ
根管治療後の経過について

みなさま お変わりないでしょうか? 最近、暑くなって、夏本番ですね。 私は、夏が一番好きな季節ですから、とても楽しみです。 昨年は、遊びに行けなかったので、今年こそはいろんなことにチャレンジしたいと思っています。 &nb...

続きを読む