High success rate:
"American style root canal treatment"
成功率が高い
「精密根管治療」に対応している
藤沢市の歯科医院
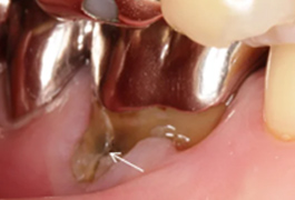
ももこ歯科の精密根管治療は、ペンエンドスタディクラブインジャパンのレギュラーコースで学んだコンセプトに基づいて行なっています。ペンエンドスタディクラブインジャパンのレギュラーコースは、米国で最も古い歯内療法科の一つであるペンシルバニア大学歯内療法科の大学院プログラムをコンパクトにまとめたもので、1年間日本で学べます。このプログラムの講師陣が最重要項目だ、と強調されていたことは、精密根管治療における診査診断と意思決定力です。診査診断と意思決定力が養われてこそ、精密根管治療の技術が向上します。
大きな虫歯で神経をとった方がいい(根管治療を受けた方がいい)といわれた方は、精密根管治療を受けるとその後の歯の状態にトラブルが少なく有意義だと思います。それから、抜歯を提案された方、根管治療がなかなか終わらず不安を抱えていらっしゃる場合、どうしても歯を残したいというご希望がある方は、ぜひ一度ももこ歯科にご連絡ださい。かかりつけ医がいて、根管治療をももこ歯科で受けたい方、セカンドオピニオンをご希望の患者様は紹介状持参でお願いしています。






























